In a recent article by Tieu LD, in the Journal of American Dental Assoc. (JADA), a review of over 3500 articles found that Ankylosed (“stuck teeth”) primary molars initially should be monitored closely for up to 6 months. If they do not exfoliate (“fall out”) spontaneously, they should be removed, because arch-length loss, alveolar bone defects, impacted permanent successors and occlusal disturbances often occur when the removal is delayed. The full article can be found here:
Management of ankylosed primary molars with premolar successors: A systematic review
Long D. Tieu, Stephanie L. Walker, Michael P. Major, and Carlos Flores-Mir
JADA 2013; 144:602-611
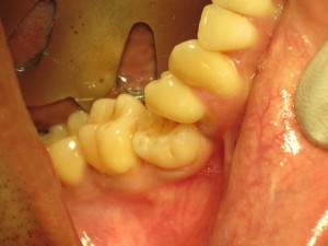
This is why it is so important to address your “stuck” baby teeth in a timely fashion. I have patients in their 30-40, still with their baby teeth, that come for possible replacement options. By then there is already extensive damage to the under lying bone and shifting of the adjacent. Hence they will need bone grafting & braces, to build up the bone and to also push the adjacent teeth into their original and optimal position. See the following case in a 34 year old patient still with his primary molars (Teeth #K & T):
Ankylosed #K Ankylosed #T
If he would have only sought treatment earlier, he could have avoided the required bone grafting and the braces! The ankylosed (“stuck baby”) teeth need to be addressed in a timely fashion. The longer you wait, the more the damage to your body, teeth and your pocket.
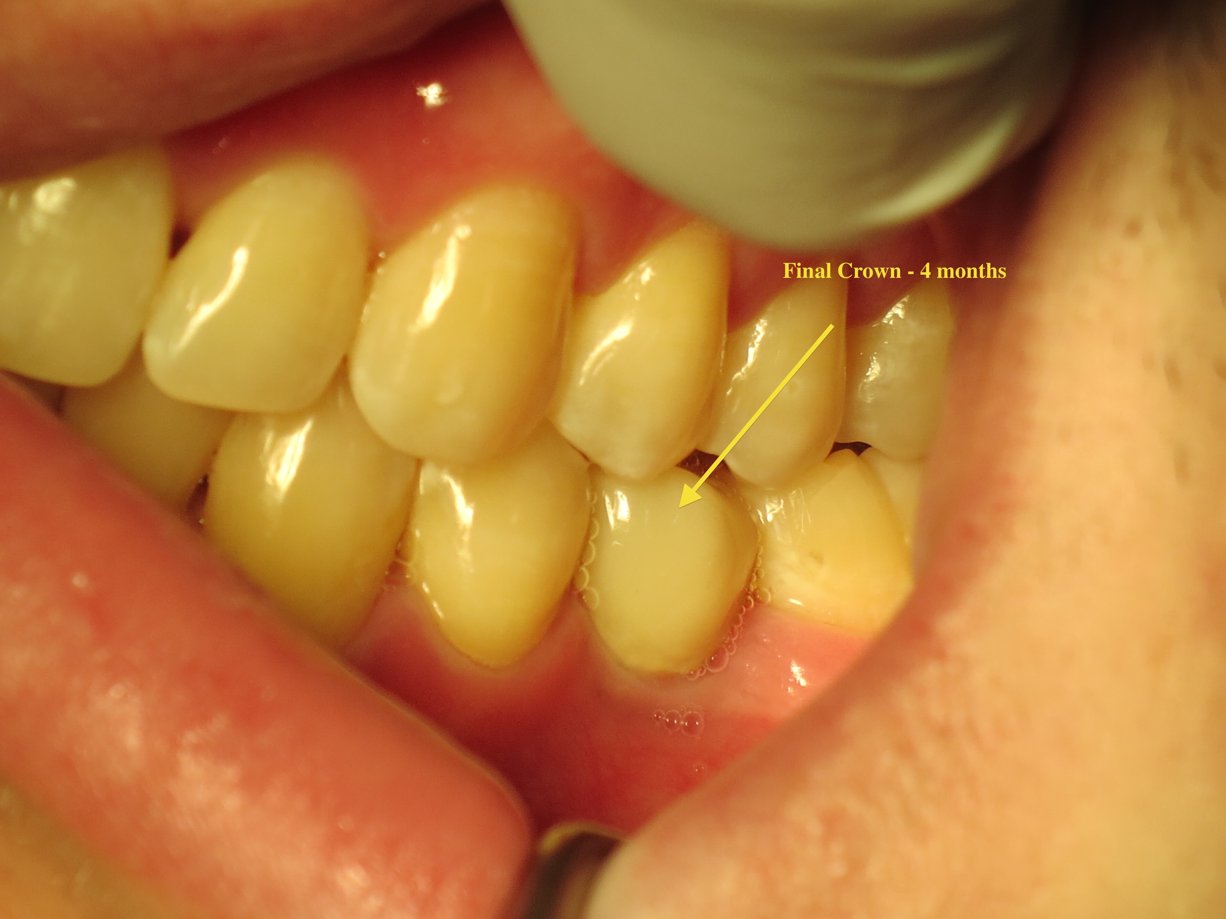
Take a look at this subsequent case. An 18yo that presented to us for extraction of his third molars and a stuck baby tooth #K. We elected to extract all 4 third molars under IV sedation and the same time extracted his baby tooth #K with immediate implant placement and immediate temporary crown….he basically left with a replacement tooth in one hour. Take a look at the sequence:
Preop – Ankylosed or stuck tooth #K Extraction site
Replacement tooth = Implant Temporary crown on implant
Final Crown placed 4 months later





