This is a typical question from patients during our consultation. Patients are usually referred to my office by their general dentist for a consultation in regards to their impacted or symptomatic third molars. Understandably, most patient are scared and a bit skeptical when they first present to our office for surgery. Surgery is scary thing to most patients – especially when they present with no symptoms. I can you from experience that when we remove teeth that are asymptomatic, the recovery is much shorter with the less pain and discomfort. Unfortunately, due to anxiety some patients wait until the last minute to address their infected teeth, despite being referred to an oral surgeon for the extraction of their year ego. As they say: pain is the best motivator!
Well, we don’t like to just extract teeth for no reason. If the third molars are in occlusion and easily accessed for cleaning, there is not reason to remove it. There are millions of people that have their third molars and do just fine. Its the poorly positioned, impacted and infected third molars that we worry about the most.
In a recent article in the Journal of Oral and maxillofacial Surgery (JOMS) 71:1636-1646, 2013; Drs. Brooks et. al. have provided more evidence to what we already know about symptomatic third molars: Removal of third molars in infected patients actually helps the adjacent teeth. Common sense right? Unfortunately, by the time many patients present to us for the extraction of their third molars; we have to also extract the adjacent tooth (second molar).
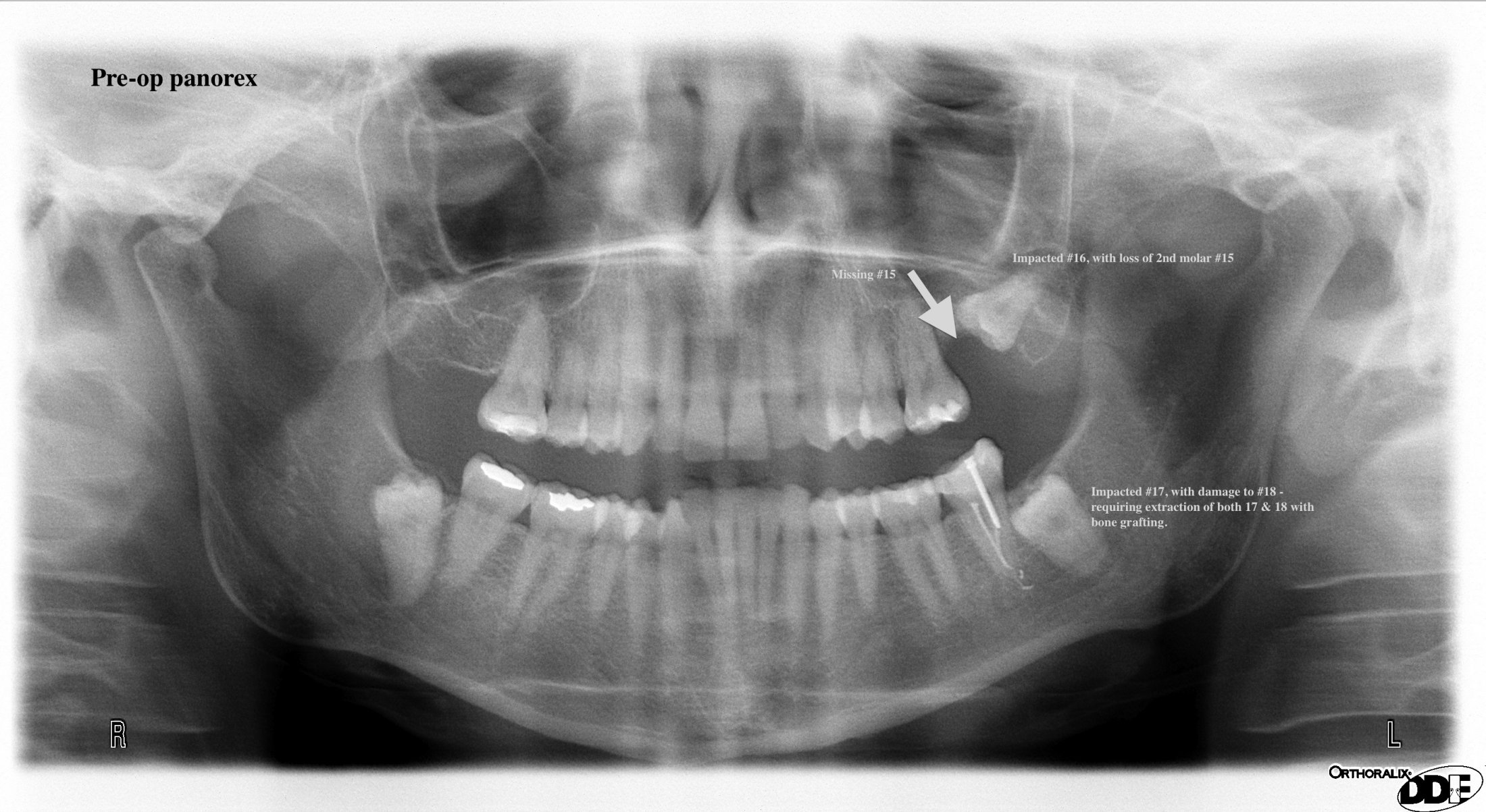
Below is the before and after panorex x-rays of a patient that presented to me for extraction of her third molars on the left side. She had already lost #15 due to damage from third molars #16. Interestingly she was having sinus issues – which they did not attribute to her third molar. After the extraction of #16 her sinusitis improved! Also we had to extract #18 due to damage from her impacted #17. Hence she ended up losing both her third molars 16 & 17, in addition to her 2nd molars #15 & 18. If she would have just extracted her third molars as a teenager, she would not have lost those two additional adult teeth.

